Cone Beam CT in Alpharetta, GA
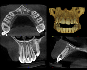
We are constantly striving to improve our endodontic practice to continually improve for our patients. The Carestream 8100 ‘Cone Beam’ CBCT machine provides a two-in-one solution (3D scan and Panoramic image) with access to powerful, focused-field 3D images and offers unprecedented x-rays views of the oral cavity. The Carestream 8100 has the smallest voxel size on the market at only 76 microns while most other CBCT machines are 125 microns or larger. The anatomical detail and viewing capabilities of 3D imaging offer a wide range of diagnostic possibilities.
When a patient is referred to our practice, they receive the best possible service with the top technology in the industry. A CBCT scan provides the following advantages:

- Diagnosis and Canal Morphology
- Non-endodontic Pathoses
- Root Fractures
- Internal Resorption
- Invasive Cervical Resorption
- Presurgical Anatomic Assessment
- Diagnosis of a Failed Endodontic Tx